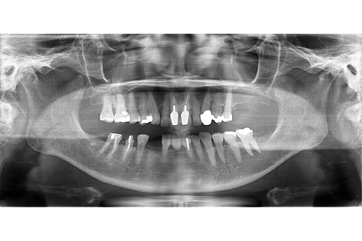
左下の歯を入れ歯以外で治したい。
前歯のブリッジはそのままで治したい。
治療前
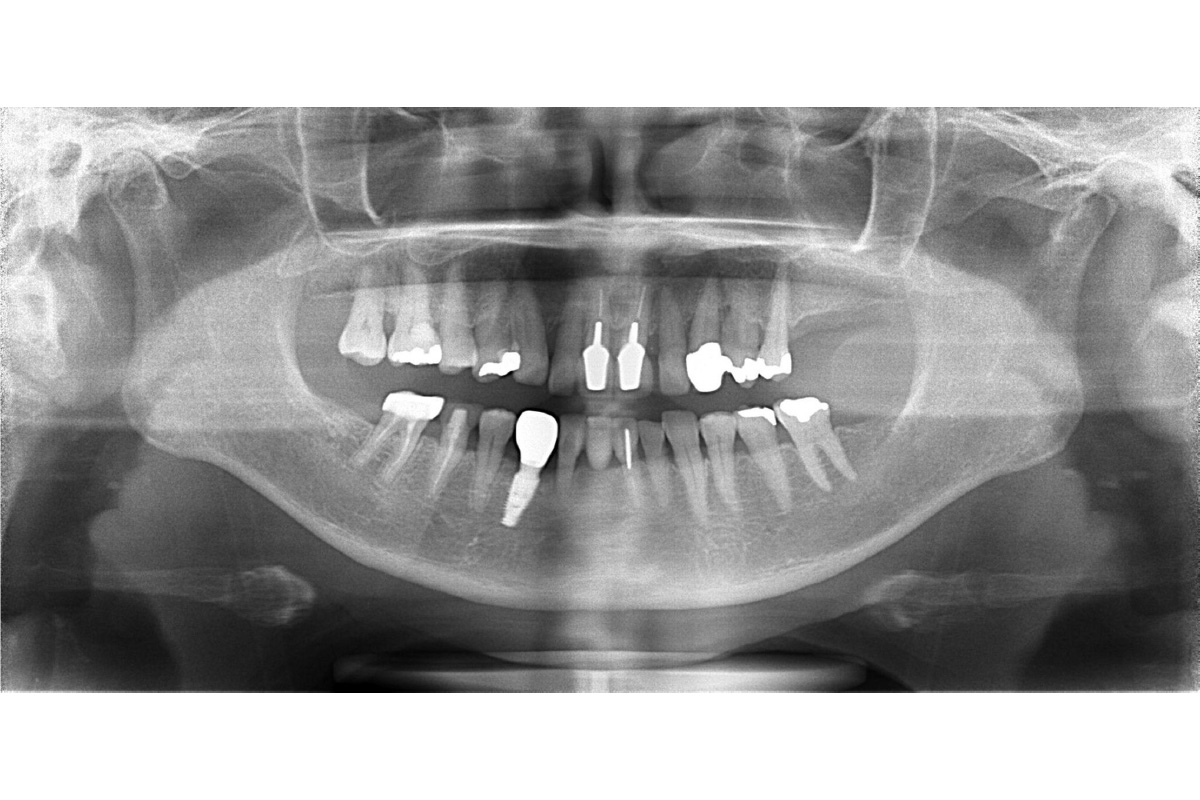
治療後
治療前
治療後
| 担当医 | 小林 健一 先生 |
|---|---|
| 主訴 | 左下の歯を入れ歯以外で治したい。前歯のブリッジはそのままで治したい。 |
| 期間 | 5ヵ月 |
| 費用 | 566,500円(治療時) |
| 治療内容 | 骨造成 結合組織移植術 インプラント治療 |
| 治療に伴うリスク | 外科処置を伴う |















