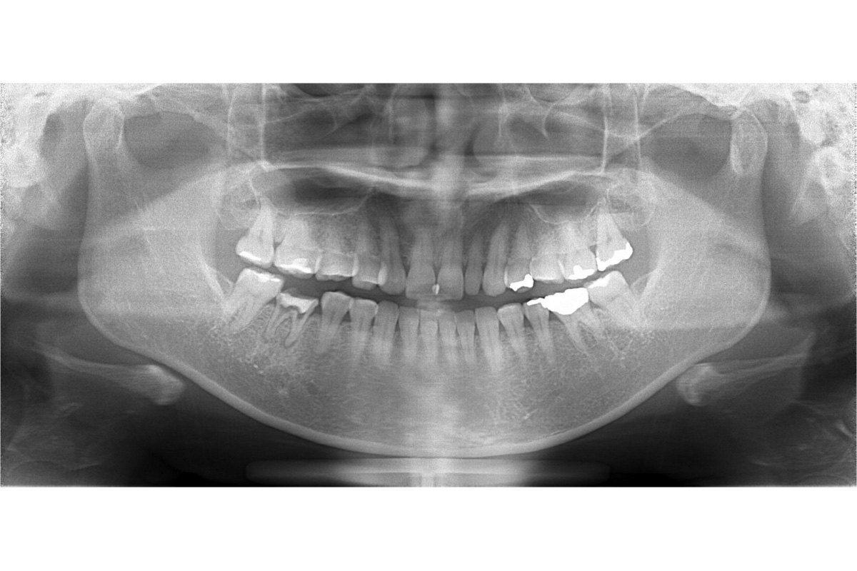
抜歯となった。
インプラント
で治したい。
治療前
治療後
治療前
治療後
| 担当医 | 小林 健一 先生 |
|---|---|
| 主訴 | 抜歯となった。 インプラントで治したい。 |
| 期間 | 4ヵ月 |
| 費用 | 455,950円(治療時) |
| 治療内容 | インプラント治療(抜歯即時埋入) 骨造成 |
| 治療に伴うリスク | 外科処置を伴う |















