下顎の入れ歯の
安定が悪い。
美味しい食事を
取りたい。
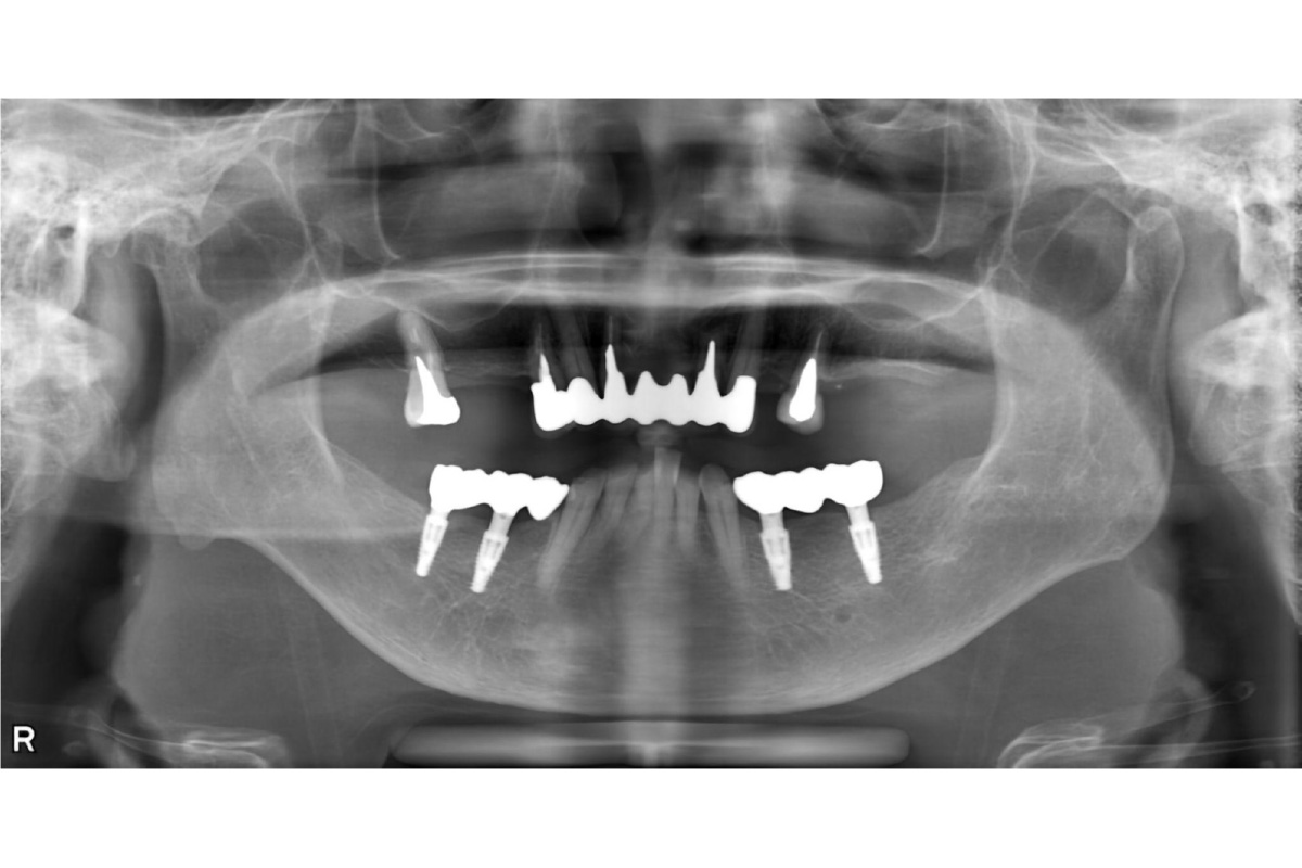
治療前
治療後
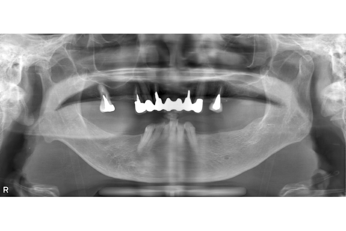
治療前
治療後
| 担当医 | 小林 健一 先生 |
|---|---|
| 主訴 | 下顎の入れ歯の安定が悪い。美味しい食事を取りたい。 |
| 期間 | 5ヵ月 |
| 費用 | 2,457,400円(治療時) |
| 治療内容 | インプラント治療 (フラップレス手術) |
| 治療に伴うリスク | 外科処置を伴う |















