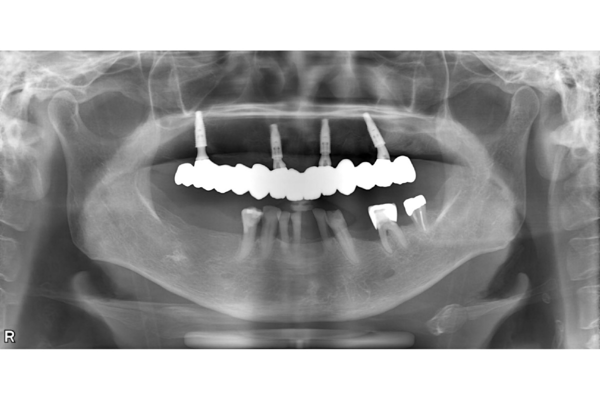
インプラント治療 オールオン4上顎の歯をキレイに治したい治療費を抑えたい 2026.03.11 上顎の歯をキレイに治したい。治療費を抑えたい。 治療前 治療後 治療前 インプラント(オールオン4) 治療後 担当医 小林 健一 先生 主訴 上顎の歯をキレイに治したい。治療費を抑えたい。 期間 費用 2,500,000円(治療時) 治療内容 仮歯 インプラント補綴(オールオン4) 静脈内鎮静法 治療に伴うリスク 外科処置を伴う 関連症例 インプラント治療審美歯科 前歯をインプラントで治したい。両隣の歯も揃えてキレイにしたい。 担当医 小林 健一 先生 主訴 前歯をインプラントで治したい。両隣の歯も揃えてキレイにしたい。 期間 4ヵ月 費用 899,800円(治療時) 治療内容 右上中切歯へのインプラント治療 (骨造成、結合組織移植) 両隣在歯のジルコニアクラウン 治療に伴うリスク 外科処置を伴う 2026-03-11 ジルコニアクラウン両隣の歯も揃えたい結合組織移植術骨造成 インプラント治療 左下の歯を入れ歯以外で治したい。前歯のブリッジはそのままで治したい。 担当医 小林 健一 先生 主訴 左下の歯を入れ歯以外で治したい。前歯のブリッジはそのままで治したい。 期間 5ヵ月 費用 566,500円(治療時) 治療内容 骨造成 結合組織移植術 インプラント治療 治療に伴うリスク 外科処置を伴う 2026-03-11 結合組織移植術骨造成 インプラント治療 下顎の入れ歯の安定が悪い。美味しい食事を取りたい。 担当医 小林 健一 先生 主訴 下顎の入れ歯の安定が悪い。美味しい食事を取りたい。 期間 5ヵ月 費用 2,457,400円(治療時) 治療内容 インプラント治療(フラップレス手術) 治療に伴うリスク 外科処置を伴う 2026-03-11 しっかり噛めるようになりたい入れ歯が合わない インプラント治療審美歯科 前歯の抜歯が必要となった。隣の歯も含めてキレイに治したい。 担当医 小林 健一 先生 主訴 前歯の抜歯が必要となった。 隣の歯も含めてキレイに治したい。 期間 6ヵ月 費用 1,179,200円(治療時) 治療内容 ジルコニアクラウン3本 インプラント治療2本 骨造成 治療に伴うリスク 外科処置を伴う 2026-03-12 ジルコニアクラウン前歯をキレイにしたい骨造成 インプラント治療 左下の奥歯を入れ歯以外で治したい 担当医 小林 健一 先生 主訴 左下の奥歯を入れ歯以外で治したい 期間 6ヵ月 費用 1,152,800円(治療時) 治療内容 抜歯・骨造成 インプラント治療 治療に伴うリスク 外科処置を伴う 2026-03-11 奥歯のインプラント骨造成 インプラント治療 前歯が折れた。抜歯はいいが、残りの歯を削らずにインプラントで治したい。 担当医 小林 健一 先生 主訴 前歯が折れた。抜歯はいいが、残りの歯を削らずにインプラントで治したい。 期間 5ヵ月 費用 686,400円(治療時) 治療内容 インプラント(抜歯即時埋入) 骨造成 カスタムアバットメント作成 治療に伴うリスク 外科処置を伴う 2026-03-11 歯が折れた骨造成 インプラント治療 抜歯となった。インプラントで治したい。 担当医 小林 健一 先生 主訴 抜歯となった。インプラントで治したい。 期間 4ヵ月 費用 455,950円(治療時) 治療内容 インプラント治療(抜歯即時埋入) 骨造成 治療に伴うリスク 外科処置を伴う 2026-03-11 抜歯即時インプラント骨造成 インプラント治療 左上の前歯が折れた。インプラントで治したい。 担当医 小林 健一 先生 主訴 左上の前歯が折れた。インプラントで治したい。 期間 4ヵ月 費用 628,650円(治療時) 治療内容 インプラント治療(抜歯即時埋入) 骨造成 結合組織移植術 治療に伴うリスク 外科処置を伴う 2026-03-23 前歯が折れた抜歯即時インプラント結合組織移植術骨造成